Clear aligner treatment for straighter teeth with a discreet look and flexible daily wear.

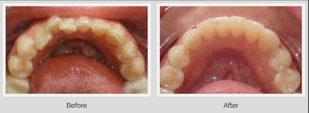
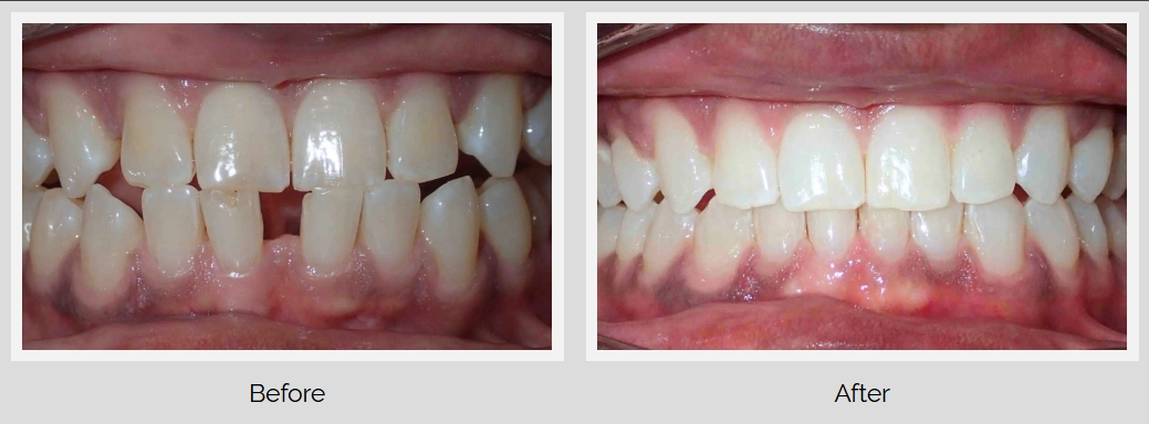
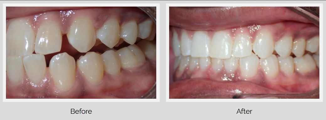
Invisalign Dentist care at Aventura Dental Center gives Aventura Lakes patients a discreet way to straighten teeth without metal brackets and wires. This works well for adults and teens who want a cleaner look during school, work, or social plans around Aventura. We help each patient understand the process, wear time, and follow-up needs before treatment begins.
We begin with a smile exam and a talk about your goals. Some patients want a small fix for front teeth, while others want a larger change before a wedding, work event, or family trip. After scans or impressions, we map the aligner plan and review how long treatment may take. Follow-up visits help us check progress and answer questions.
If you want straighter teeth without a mouthful of metal, book an Invisalign Dentist visit with Aventura Dental Center. We help Aventura Lakes patients plan a smile that fits everyday life.
Need our services at Aventura Lakes, Aventura, FL?





At Aventura Dental Center, we prioritize your dental health. Contact us for comprehensive dental services tailored to your needs. Our experienced team is ready to assist you in Aventura, FL.
Phone
(305) 677-0511