Natural-looking composite fillings that repair cavities and blend with your tooth color.

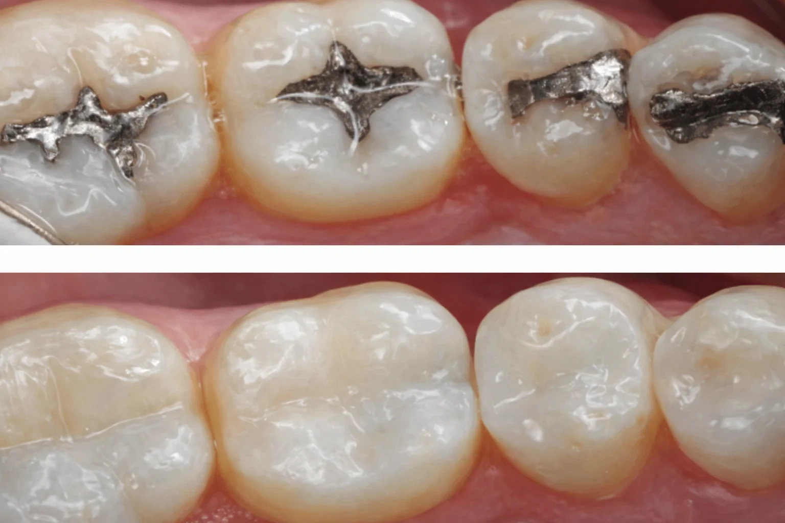
Composite Fillings in Aventura, FL repair teeth damaged by decay, wear, or small chips while keeping the look of the smile more natural. These tooth-colored restorations bond to the tooth and can be shaped to match surrounding enamel. If you want cavity repair that looks clean and blends in well, composite material is a strong choice for front teeth and many back teeth too. Patients often learn more about this topic through our modern fillings guide before their visit.
We first check the tooth and remove decay or old material that no longer fits well. Then we place the composite in layers, shape it, and harden it with a special light. After that, we check the bite so the tooth feels normal when you close your mouth. The final step is polishing, which helps the filling blend with nearby enamel. If a tooth has deeper damage, we may need to talk about Root Canal Treatment or Dental Crowns and Dental Bridges instead. For patients seeking care close to the coast, we also see people from Sunny Isles Beach, FL and surrounding neighborhoods.
Book your visit today if you think you may need a filling. Early repair can help protect the tooth and keep treatment simple.
At Aventura Dental Center, we prioritize your dental health. Contact us for comprehensive dental services tailored to your needs. Our experienced team is ready to assist you in Aventura, FL.
Phone
(305) 677-0511