Compare clear aligners and braces to find the right teeth straightening option for your smile goals.

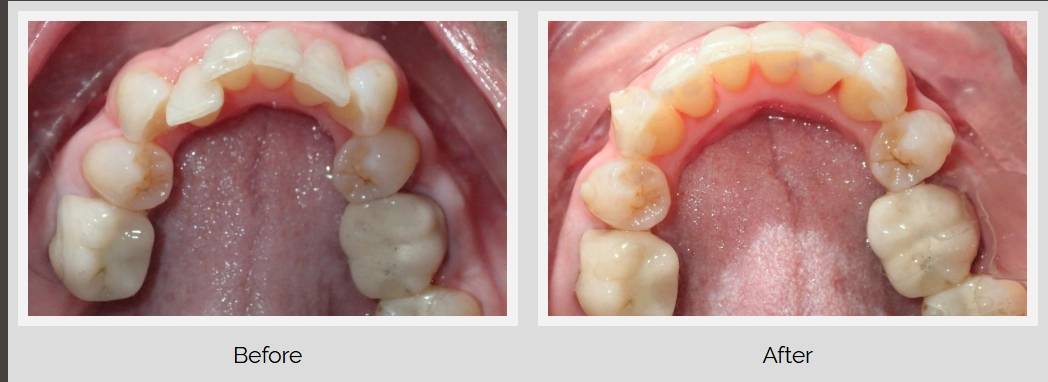
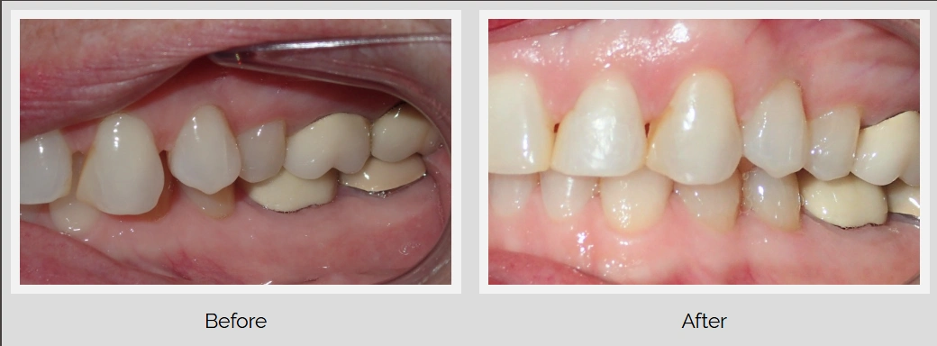
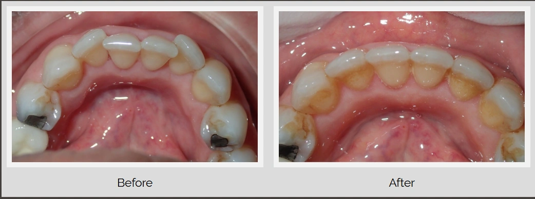
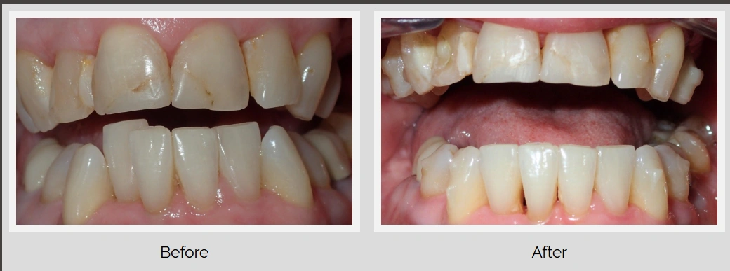
Invisalign vs Traditional Braces is a tooth straightening service page that helps patients compare two proven ways to correct crowding, gaps, and bite issues. If you want a discreet option, clear aligners may be a strong fit. If you need more control for complex movement, braces may be the better path. Here’s why this comparison matters: the right choice can shape comfort, wear time, cleaning habits, and the final result. Many patients who start with Invisalign Dentist also review this option before they begin care, and others compare their plan with a visit to Aventura, FL for local treatment guidance. You can also read more about smile planning in our smile transformation guide.
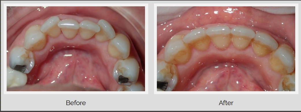
Your visit starts with an exam, photos, and a conversation about your goals. If you choose Invisalign, the plan often includes digital scans, aligner trays, and regular check-ins so progress stays on track. If braces are the better fit, brackets and wires are placed with careful adjustments over time. The team explains wear time, cleaning steps, food choices, and how long treatment may take. This process gives you a clear path from the first visit to the final retainer phase. Patients in Miami, FL and nearby areas often like having a local option that keeps care simple and easy to follow.
If you are comparing Invisalign vs Traditional Braces, the best next step is a consultation. We can review your teeth, answer your questions, and help you choose a plan that fits your smile goals and daily life. Book a visit today and take the next step toward a straighter smile.





At Aventura Dental Center, we prioritize your dental health. Contact us for comprehensive dental services tailored to your needs. Our experienced team is ready to assist you in Aventura, FL.
Phone
(305) 677-0511