Custom smile makeover plans that bring together cosmetic and restorative care for a brighter look.

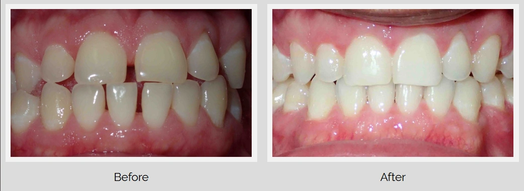
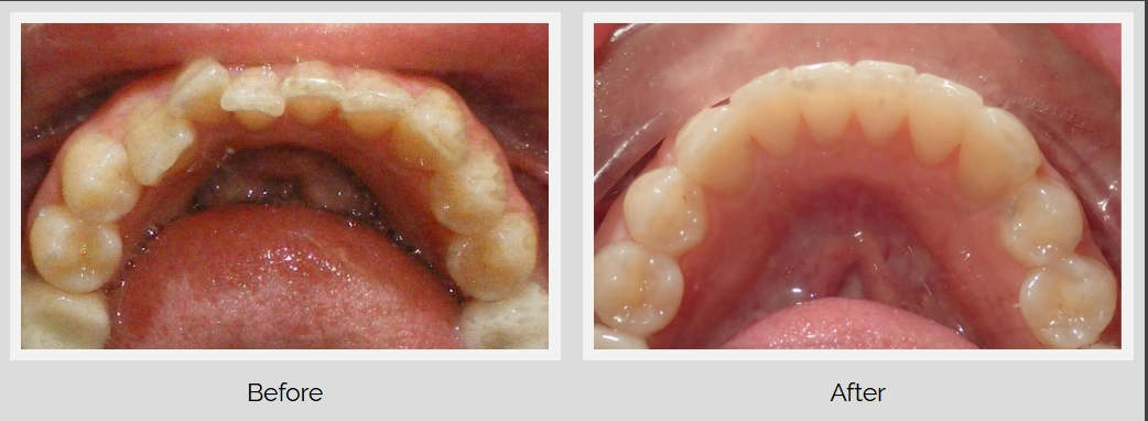
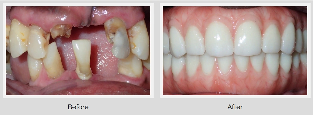
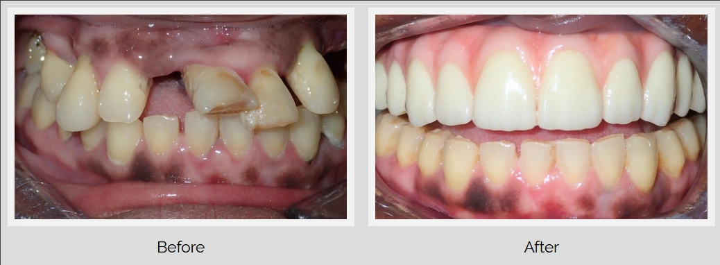
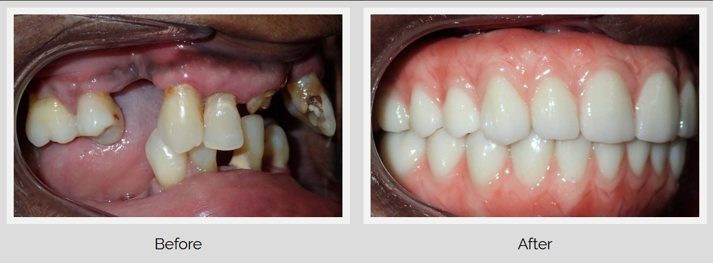
A Smile Makeover brings several cosmetic and restorative services together so your teeth look and feel more balanced. Aventura Dental Center helps Biscayne Gardens patients who want a brighter, straighter, and more even smile. If you are searching for Smile Makeover care in Biscayne Gardens, Miami, FL, our team can review your goals and build a plan that may include whitening, veneers, bonding, Invisalign Dentist care, or crowns.
We start with a smile review and talk about what you want to change. Then we check tooth shape, shade, alignment, chips, and missing spaces. Some patients from nearby Miami Gardens want a Smile Makeover before a wedding or family event, while others want to feel better at work or in daily photos. We explain each service in plain language so you can choose the pieces that fit.
If a Smile Makeover sounds like the right next step, call us or email us to schedule a visit with Aventura Dental Center.
Need our services at Miami, FL?








At Aventura Dental Center, we prioritize your dental health. Contact us for comprehensive dental services tailored to your needs. Our experienced team is ready to assist you in Aventura, FL.
Phone
(305) 677-0511